你有没有发现,最近跑步圈子里可是热闹非凡呢!各种跑步博主纷纷晒出自己的视频,从晨跑的呼吸节奏到夜跑的霓虹光影,简直让人眼花缭乱。...
你有没有发现,最近网上有个视频特别火,那就是《我的宝贝》!没错,就是那个让人笑中带泪,又忍不住想要分享给身边人的短视频。今天,就...
最近网上可是炸开了锅,一个叫做“天涯爆料肖淑慎是谁啊视频”的话题,简直成了热门讨论。这不,我就来给你好好扒一扒,看看这个视频背后...
你知道吗?最近网上可是炸开了锅,因为二狗爆料王小贱的视频火了!这俩人的故事,简直比电视剧还精彩,今天就来给你细细道来。一、二狗的...
你知道吗?最近网上可是掀起了一股“八卦个人爆料视频下载”的热潮呢!各式各样的爆料视频层出不穷,让人看得是津津有味。今天,就让我带...
最近网络上可是炸开了锅,大家都在热议一个话题——那就是那位顶级女星的视频爆料!没错,就是那个让无数粉丝心碎,也让吃瓜群众兴奋不已...
最近网上可是炸开了锅,刘大铁锤的最新爆料直播视频成了大家茶余饭后的热门话题。这位曾经的武林高手,如今摇身一变,成了直播界的红人。...
你知道吗?最近网上可是掀起了一股哈士奇海绵爆料视频的热潮!这些视频简直就像海绵宝宝一样,充满了欢乐和惊喜,让人看了忍不住笑出声来...
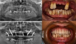
最近佛山那边的种牙事件可是闹得沸沸扬扬的,咱们得好好来聊聊这个话题。你有没有看过那个爆料视频?简直让人瞠目结舌啊!事件回顾:佛山...
最近有没有被CF(穿越火线)背包皮肤的新爆料视频给刷屏了?没错,就是那个让无数玩家心动的神秘皮肤!今天,我就要带你一起深入解析这...